Journal of Cardiology and Cardiovascular Medicine

Case Report
You Are Here:

A rare Congenital Coronary Artery Anomaly: Woven Right Coronary Artery associated with Myocardial Infarction

Tolga Doğan, Mucahit Yetim, Lütfü Bekar, Oğuzhan Çelik, Macit Kalçık* and Yusuf Karavelioğlu

Department of Cardiology, Hitit University Çorum Training and Research Hospital, Çorum, Turkey

*Address for Correspondence: Dr. Macit Kalçık, Hitit University Çorum Training and Research Hospital, Çorum, Turkey, Yeniyol, Çamlık Cad. No:2, Çorum/Turkey, Tel: (90)536 4921789; Fax: +903642230300; Email: [email protected]

Dates: Submitted: 29 May 2017; Approved: 06 July 2017; Published: 07 July 2017

How to cite this article: Doğan T, Yetim M, Bekar L, Çelik O, Kalçık M, et al. A rare Congenital Coronary Artery Anomaly: Woven Right Coronary Artery associated with Myocardial Infarction. J Cardiol Cardiovasc Med. 2017; 2: 050-051.
DOI: 10.29328/journal.jccm.1001013

Copyright License: © 2017 Doğan T, et al. This is an open access article distributed under the Creative Commons Attribution License, which permits unrestricted use, distribution, and reproduction in any medium, provided the original work is properly cited.

Keywords: Coronary artery; Woven coronary anomaly; Angiography; Myocardial infarction

CASE PRESENTATION

Woven coronary artery (WCA) is an extremely rare and still not a clearly defined coronary anomaly. It is characterized by the division of epicardial coronary artery into thin channels which then reanastomose with the distal part of the abnormal coronary artery [1]. Since the angiographic imaging of WCA looks like an intracoronary thrombus and dissection; the differential diagnosis between atherothrombotic coronary arteries with recanalization of organized thrombi in coronary arteries and WCA may be very difficult for invasive cardiologists, especially in patients with single or two coronary artery involvements [2].

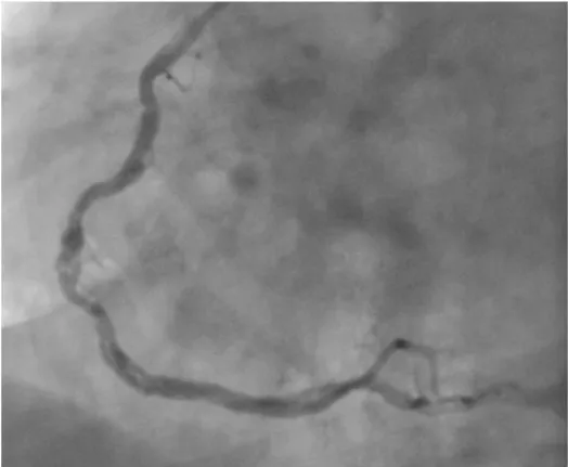
Recently, we have encountered a case of WCA associated with myocardial infarction. A 46-year-old man presented cardiology department with stable angina pectoris. An electrocardiography (ECG) showed Q waves in the inferior leads. Echocardiography examination showed akinesis of the inferior wall and left ventricle ejection fraction was 50%. The coronary angiograms showed a 70% stenosis of left anterior descending artery (LAD), 99% stenosis of circumflex artery and a twisting course of the right coronary artery lumen after it divided into multiple channels (woven right coronery artery) (Figure 1, Video1). He was transferred to the cardiovascular department for the bypass surgery.

Figure 1: Coronary angiography revealed woven coronary artery anomaly at the mid segment of the right coronary artery.

Video 1: Coronary angiography showed thin channels and distal reanastomosis of a woven coronary artery anomaly of the right coronary artery.

Although WCA has been accepted as a totally benign malformation which doesn’t lead to any pathologic cardiac event; there has only been one case involving infarct-related WCA in the literature. It has been speculated that this anomaly can be developed from spontaneous dissection, and the twisting of thin channels can cause intracoronary thrombus according to the distance of the anomalous segment [3]. By means of several angiographic studies it has been shown that the blood flow is completely normal in all segments of the WCA. However, our patient has a history of previous inferior myocardial infarction. Therefore, even though this anomaly appears to be a benign coronary anomaly without any major adverse cardiovascular events, we need more data to figure out its exact natural history. Widespread knowledge about woven coronary anomaly prevents unnecessary coronary intervention and medical therapy because of misinterpretation of WCA as intracoronary thrombus and dissection.

REFERENCES
  1. Sane DC, Vidaillet HJ Jr. "Wovenright coronary artery: a previously undescribed congenital anomalyAm J Cardiol. 1988; 61: 1158. Ref.: https://goo.gl/h86SwK
  2. Martuscelli E, Romeo F, Giovannini M, Nigri A. Woven coronary artery: differential diagnosis with diffuse intracoronary thrombosis. Ital Heart J. 2000; 1: 306-307. Ref.: https://goo.gl/5veSk2
  3. Kursaklioglu H, Iyisoy A, Celik T. Woven coronary artery: a case report and review of literature. Int J Cardiol. 2006; 1: 121-123. Ref.: https://goo.gl/QncMJu