More Information

Submitted: December 28, 2023 | Approved: January 17, 2024 | Published: January 18, 2024

How to cite this article: John NJ, Thomas J, Bracewell M. Persistent Bilateral Vocal Cord Paralysis Following Unilateral Basal Ganglia Hemorrhage. J Cardiol Cardiovasc Med. 2024; 9: 026-028.

DOI: 10.29328/journal.jccm.1001174

Copyright License: © 2024 John NJ, et al. This is an open access article distributed under the Creative Commons Attribution License, which permits unrestricted use, distribution, and reproduction in any medium, provided the original work is properly cited.

Keywords: Stroke; Vocal cord paralysis; Intracranial hemorrhage; Laryngeal motor cortex; Dysphonia

Persistent Bilateral Vocal Cord Paralysis Following Unilateral Basal Ganglia Hemorrhage

Nikil Joseph John, John Thomas* and Martyn Bracewell

Consultant Physician/ Elderly Care, Clinical Lead for Stroke & Movement Disorders, College Tutor, Noble’s Hospital, Strang, Douglas, Isle of Man, British Isles, IM4 4RJ, UK

*Address for Correspondence: Dr. John Thomas, MBBS, MD, FRCP, Consultant Physician/ Elderly Care, Clinical Lead for Stroke & Movement Disorders, College Tutor, Noble’s Hospital, Strang, Douglas, Isle of Man, British Isles, IM4 4RJ, UK, Email: [email protected]

Post-stroke vocal cord paralysis is a condition much less recognized compared to dysphagia. We describe bilateral vocal cord palsy in a thirty-six-year-old man following a stroke. He presented with a hemorrhagic stroke secondary to uncontrolled hypertension. While he gradually recovered from the hemiparesis, he continued to have persistent bilateral vocal cord palsy requiring permanent tracheostomy. We explain the mechanics of vocal cord palsy and speculate on how a unilateral cerebral lesion can cause bilateral vocal cord palsy.

Dysphagia after stroke is a well-recognized condition affecting over 50% of stroke patients [1]. The majority of these improve gradually in the weeks following stroke, but 11% - 50% continue to have varying degrees of dysphagia at 6 months follow-up.

There is much less recognition of vocal cord dysfunction after a stroke. A study of 54 cases including lacunar strokes, and cortical, subcortical, and lateral medullary strokes showed vocal cord paresis in 11 (20.4%) [2]. There is little information regarding the occurrence of bilateral vocal cord palsy in unilateral stroke.

A 36-year-old male was found collapsed on a fishing boat at work. He was previously fit with no past medical history of note.

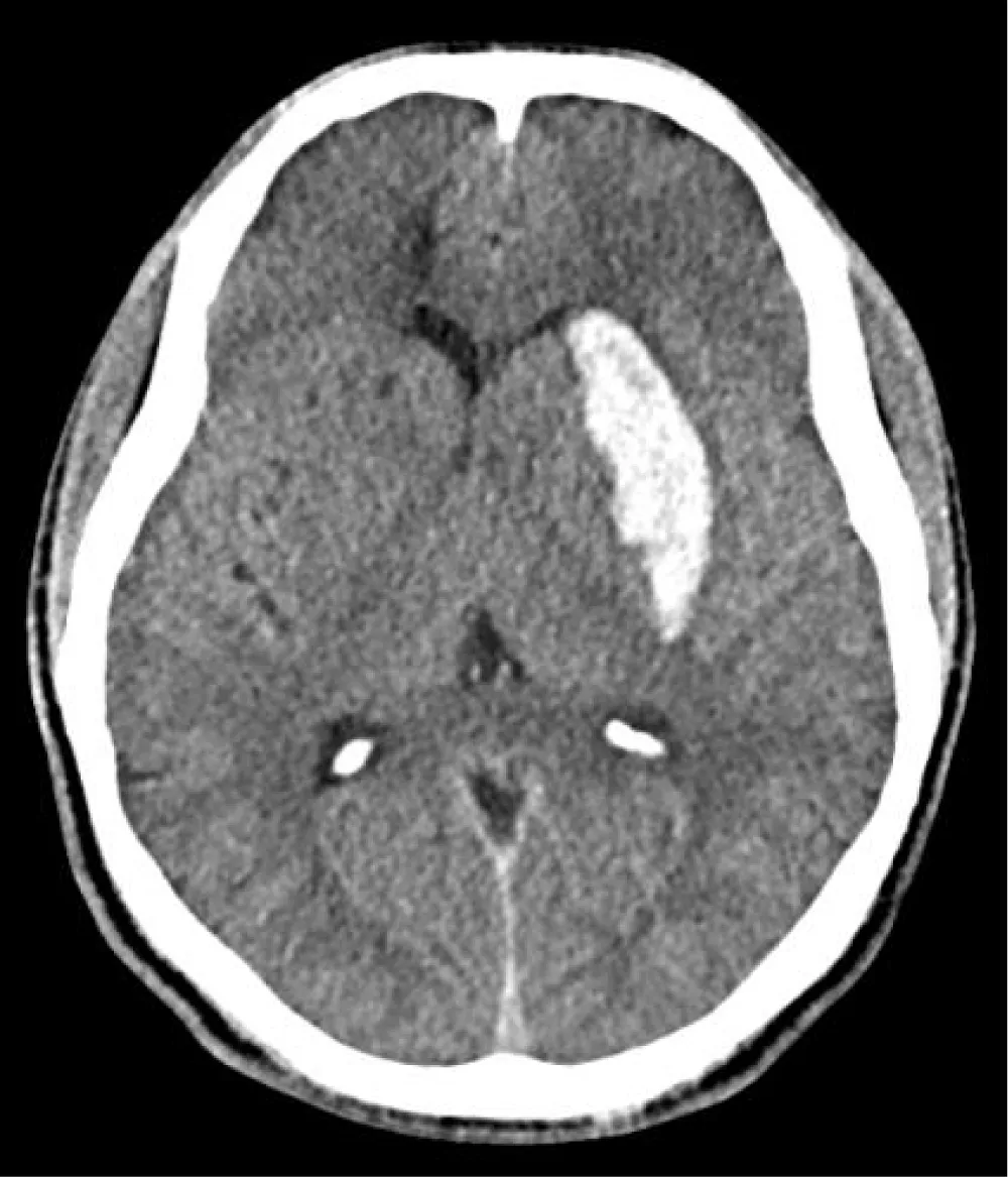
He was airlifted to the closest hospital within 24 hours. On arrival, he had a Glasgow Coma Scale of 6/15 (E=2; M=3; V=1), a dense Right-sided hemiparesis, and vomiting. His blood pressure was 200/123 mmHg which was controlled initially with Intravenous labetalol and doxazocin. CT head (Figure 1) showed an intraparenchymal bleed involving the basal ganglia (on the left, particularly the putamen, head of the caudate, and the anterior limb of the internal capsule. The patient was intubated and ventilated. A CT angiogram did not demonstrate any vascular abnormalities. After consultation with the regional neurosurgical center, there was no surgical intervention.


Download Image

Figure 1: CT Head.

Blood pressure was eventually controlled with multiple antihypertensive agents. Screening for secondary hypertension due to renal and endocrine pathology did not reveal an underlying cause.

Multiple attempts at extubating failed because the patient was unable to breathe and developed stridor. Laryngeal examination revealed bilateral vocal cord adduction. A CT and MRI neck and multiple laryngoscope assessments from the ENT team failed to reveal a cause. The patient was given a permanent tracheostomy after 2 weeks.

He was initially fed via a nasogastric tube due to dysphagia. Persistent aspiration was demonstrated on video-fluoroscopy. Over the next 4 weeks - 6 weeks, the patient showed gradual improvement in limb weakness and swallowing and became independent in activities of daily living including swallowing. Tracheostomy removal failed due to persistent adducted vocal cords even at the time of discharge, 12 weeks after admission. With Speech therapy, he was able to communicate with the tracheostomy tube in situ.

Bilateral vocal cord palsy after a unilateral stroke is an uncommon finding as opposed to unilateral vocal cord palsy. Bilateral vocal cord paralysis is less common and is usually associated with more systemic neurological diseases, direct neck trauma, or complications from surgeries. In the context of a stroke, bilateral vocal cord paralysis would be rare and might suggest either a very extensive stroke or a different underlying cause for the paralysis.

Dysphagia after stroke is a well-recognized condition affecting over 50% of stroke patients [1]. The majority of these improve gradually in the weeks following stroke, but 11% - 50% continue to have varying degrees of dysphagia at 6 months follow-up. There is much less recognition of vocal cord dysfunction after a stroke, especially bilateral vocal cord dysfunction after a unilateral stroke. A study of 54 cases including lacunar strokes, cortical, subcortical, and lateral medullary strokes showed vocal cord paresis in 11 (20.4%) [2].

Neural control of the vocal cords

The internal musculature of the larynx controls the vocal cords. The posterior cricoarytenoid abducts the vocal cords (VCs); the lateral cricoarytenoid, thyroarytenoid, interarytenoid, and cricothyroid adduct the VCs. All these muscles are innervated by the recurrent (or inferior) laryngeal nerve, with the exception of the cricothyroid, which is innervated by the external branch of the superior laryngeal nerve. These are branches of the vagus nerve arising from the nucleus ambiguous in the medulla (Figure 2).


Download Image

Figure 2: Nucleus ambiguus in the upper medulla gives rise to IX, X, and XI cranial nerves.

Laryngeal Motor Cortex (LMC) (Figures 3,4)


Download Image

Figure 3: The laryngeal motor cortex as marked in red comprises a significant part of the human motor homunculus.


Download Image

Figure 4: Corticonuclear innervation of nucleus ambigus is bilateral but can be unequally represented. The left side has rostral and caudal LMC areas which innervate the Nucleus ambiguus bilaterally while the right side only has rostral LMC innervating bilateral nuclei. Lesions affecting Left LMC centers and/or its projection to the nuclei may have a profound effect on the weakness of the vocal cord compared to similar lesions on the right side. LMC = Laryngeal Motor Cortex.

The traditional view is that there is a bilateral cortico-bulbar projection from the motor cortical areas to the brainstem controlling the vocal cords. Therefore one would not expect a unilateral cerebral lesion to cause VC paralysis.

Recent work suggests that humans have two LMCs. The rostral LMC in the premotor cortex is phylogenetically and ontogenetically ‘old’. It is involved in the control of innate behaviors. The caudal LMC in the primary motor cortex is phylogenetically ‘newer’ and is involved in the control of learned behavior, especially speech. [3] argues that humans have only a ‘new’ LMC on the right, but both ‘old’ and ‘new’ LMCs on the left. This asymmetry might explain the unexpected finding of a unilateral (left) cerebral lesion causing VC paralysis in our patient.

Role of the basal ganglia

Over the last several decades, the role of the basal ganglia in modulating the output from the motor cortical areas has been firmly established [4]. The putamen receives projections from motor cortical areas. Via the globus pallidus and thalamus, it projects back to the same cortical areas, thus ‘closing the loop’.

We are familiar with the hypophonia and abnormalities of VC control in patients with Parkinson’s disease. Focal lesions of the lentiform nuclei can cause hypophonia [4,5]. [6] report a case of bilateral putaminal infarcts causing aphonia. Simonyan, et al. 2014 [3] also report bilateral lentiform nuclei changes in spasmodic dysphonia. We speculate that the lesion disrupted cortico-striato-pallido-thalamic-cortical circuitry, and that, because of the asymmetric organization of the LMC, this resulted in bilateral VC palsy.

This case report brings attention to the possibility of bilateral vocal cord paralysis resulting from unilateral cerebral lesions, particularly in stroke cases, and contributes to the understanding of the complex neural control of the vocal cords. This article emphasizes the paucity of available information on vocal cord palsy, particularly bilateral vocal cord palsy as a consequence of stroke. The neuroanatomy of the laryngeal cortex is still not fully understood.

  1. Cohen DL, Roffe C, Beavan J, Blackett B, Fairfield CA, Hamdy S, Havard D, McFarlane M, McLauglin C, Randall M, Robson K, Scutt P, Smith C, Smithard D, Sprigg N, Warusevitane A, Watkins C, Woodhouse L, Bath PM. Post-stroke dysphagia: A review and design considerations for future trials. Int J Stroke. 2016 Jun;11(4):399-411. doi: 10.1177/1747493016639057. Epub 2016 Mar 22. PMID: 27006423.
  2. Venketasubramanian N, Seshadri R, Chee N. Vocal cord paresis in acute ischemic stroke. Cerebrovasc Dis. 1999 May-Jun;9(3):157-62. doi: 10.1159/000015947. PMID: 10207208.
  3. Simonyan K. The laryngeal motor cortex: its organization and connectivity. Curr Opin Neurobiol. 2014 Oct;28:15-21. doi: 10.1016/j.conb.2014.05.006. Epub 2014 Jun 12. PMID: 24929930; PMCID: PMC4177508.
  4. Alexander GE, DeLong MR, Strick PL. Parallel organization of functionally segregated circuits linking basal ganglia and cortex. Annu Rev Neurosci. 1986;9:357-81. doi: 10.1146/annurev.ne.09.030186.002041. PMID: 3085570.
  5. Bhatia KP, Marsden CD. The behavioural and motor consequences of focal lesions of the basal ganglia in man. Brain. 1994 Aug;117 ( Pt 4):859-76. doi: 10.1093/brain/117.4.859. PMID: 7922471.
  6. Senatorov VV, Satpute S, Perry K, Kaylie DM, Cole JW. Aphonia induced by simultaneous bilateral ischemic infarctions of the putamen nuclei: a case report and review of the literature. J Med Case Rep. 2013 Mar 19;7:83. doi: 10.1186/1752-1947-7-83. PMID: 23510050; PMCID: PMC3618262.