More Information

Submitted: July 22, 2024 | Approved: August 07, 2024 | Published: August 08, 2024

How to cite this article: Martino G, Leporace M, Greco F, Quarta R, Romano L, et al. Imaging Challenge in Recurrent Spontaneous Coronary Artery Dissection (SCAD): A Case Report. J Cardiol Cardiovasc Med. 2024; 9(2): 110-115. Available from: https://dx.doi.org/10.29328/journal.jccm.1001188

DOI: 10.29328/journal.jccm.1001188

Copyright License: © 2024 Martino G, et al. This is an open access article distributed under the Creative Commons Attribution License, which permits unrestricted use, distribution, and reproduction in any medium, provided the original work is properly cited.

Imaging Challenge in Recurrent Spontaneous Coronary Artery Dissection (SCAD): A Case Report

Giovanni Martino1*, Mario Leporace3, Francesco Greco5, Rossella Quarta2, Letizia Romano1,4, Antonio Curcio2,4, Alberto Polimeni2,5

1Department of Medical and Surgical Sciences, Magna Graecia University, Catanzaro, Italy
2Department of Nuclear Medicine and Theragnostics, Mariano Santo Hospital, 87100 Cosenza, Italy
3Division of Interventional Cardiology, Annunziata Hospital, Cosenza, Italy
4Department of Pharmacy, Health and Nutritional Sciences, University of Calabria, Rende, Italy
5Division of Cardiology, Annunziata Hospital, Cosenza, Italy

*Address for Correspondence: Giovanni Martino, Department of Medical and Surgical Sciences, Magna Graecia University, Catanzaro, Italy, Email: [email protected]

Spontaneous Coronary Artery Dissection (SCAD) represents a significant cause of acute coronary syndrome (ACS) in patient populations with low-risk cardiovascular profiles and, therefore can be sometimes underdiagnosed. On the other hand, it often preserves the typical clinical presentation of ACS which makes coronary artery angiography (CAG) execution mandatory. A 62-year-old woman with a history of recurrent SCAD presented to the emergency department for a new episode of acute chest pain with troponin elevation. CAG revealed an ambiguous angiography image suggesting a sub-occlusive type 2 SCAD involving the distal segment of the left circumflex artery. The patient was managed conservatively due to the absence of ongoing ischemia or hemodynamic instability. At the seven-day follow-up, a computed tomography coronary angiography (CTCA) was performed to better assess SCAD and detect concomitant associated arteriopathies. Optimized medical therapy was prescribed at the discharge and at one-month follow-up, no recurrence of symptoms was referred.

Spontaneous coronary artery dissection (SCAD) is a rare condition that presents with a wide range of manifestations, from acute coronary syndrome (ACS) to cardiogenic shock secondary to extensive myocardial ischemia. Early detection and appropriate management are crucial for optimal patient outcomes, especially in cases where differential diagnosis is difficult. In such challenging cases, a multimodal imaging approach can be crucial for the accurate diagnosis of this condition.

A 62-year-old Caucasian woman presented to the emergency department (ED) due to an episode of acute retrosternal chest pain, that lasted more than 2 hours and was significantly alleviated by the time she arrived at the ED. Her vital signs remained within normal ranges, the EKG at the presentation showed signs of inferolateral ischemia, and the initial troponin-I-hs level dosage was severely increased to 15206.4 ng/L (normal value, < 11.6 ng/L). Assessed as a case of non-ST-elevation myocardial infarction (NSTEMI), the patient was quickly transferred to the cardiac care unit (CCU).

A more detailed interrogation unveiled a history of severe smoking, arterial hypertension, dyslipidemia, and autoimmune thyroiditis. Moreover, the patient referred two distinct past admissions to the CCU for spontaneous coronary artery dissection. During the first one, the patient experienced a type 2 SCAD, according to the YIP-SAW classification [1], involving the distal segment of the left anterior descending (LAD) artery, complicated by cardiogenic shock, and managed with mechanical circulator support (MCS). During the second one, coronary artery angiography (CAG) diagnosed a type 2 flow-limiting SCAD involving the osteal postero-lateral (PLA) branch of the right coronary artery (RCA). In both cases, the patient received conservative therapy.

The trans-thoracic echocardiography (TTE) revealed mild hypokinesia of the infero-posterior wall and circumscribed apical aneurism resulting in preserved left ventricle ejection fraction (EF 50%) and normal right ventricle systolic function.

The patient had no recurrence of chest pain and remained hemodynamically stable. Still, the troponin levels trended up to 34706,9 ng/L (more than doubled), so a cardiac catheterization was scheduled for the next day of the admission. The CAG unveiled a sub-occlusive, flow-limiting, stenosis involving the distal segment of the left circumflex coronary artery (LCx) and extending into the terminal branches [Figure 1a]. Moreover, we compared the angiograms with those performed in 2017 in our institution, which showed a spontaneous complete healing of PLA [Figure 1c,d] and still a long mild narrowing of the distal-LAD, probably downstream of the past coronary occlusion [Figure 1b].


Download Image

Figure 1: a. AP-30° CAUDAL angiogram view, showing a type 4 SCAD of proximal third obtuse marginal; b: AP-30° CAUDAL angiogram view, acquired in 2017 showing patency of proximal third obtuse marginal. c: Left anterior oblique (LAO) 30° angiogram view acquired in 2017, showing a type 4 SCAD of PLA; d: Left anterior oblique (LAO) 30° angiogram view, showing spontaneous reperfusion of PLA.

The medical history and the CAG findings induced us to suspect a recurrent SCAD, affecting a new coronary vessel. In this specific case, the angiographic findings obtained were ambiguous, since also coronary embolism can present with abrupt occlusion, often of a distal coronary territory, and both often resolve over time with restoration of normal coronary flow. Intravascular ultrasound (IVUS) and optical coherence tomography (OCT) are dedicated intracoronary imaging methods that can provide more accurate diagnostic information [2]. IVUS requires closer scrutiny to discriminate between plaque rupture and SCAD lesions, whereas OCT offers better spatial resolution (at the expense of lower depth of penetration), delineation of the lumen-intimal interface, and visualization of smaller lesions. However, neither study is exempt from risk or complications, such as extending the current dissection or creating a de novo dissection with the wire or catheter. Additionally, the obtained information (i.e., length of the false lumen or size of the intramural hematoma, among others) most likely would not have affected the decision to undertake a conservative approach, for the absence of indications for urgent percutaneous coronary intervention (PCI) or bypass surgery. So, we decided on medical therapy with dual antiplatelet drugs, statin, and ACE inhibitors, and we scheduled the patient for a follow-up CTCA after a week. The multiphase CTCA, performed using retrospectively electrocardiographically gated imaging and iterative image reconstruction, showed distal sub-occlusion of LCx and unveiled an intima-medial flap dissection (Figure 3 b-d) upstream of a long tapered distal segment, of about three centimeters in length [Figure 2, Figure 3a], that confirmed the suspicious of a type 2 SCAD [Figure 3b].


Download Image

Figure 2: Volume-rendering three-dimensional CTCA images in an LAO and RAO projection. The dissected suboccluded segment is included in the box.


Download Image

Figure 3: a: Volume-rendering three-dimensional CTCA image in a cauda-cranial oblique projection shows in the box the segment sub-occluded with the point of the flap (arrow); b: 3D virtual angioscopy with fly-through navigation shows intima-medial flap dissection (asterisk) with double lume; c-d: demonstrated in the MIP oblique projection ad coronal image the endovascular flap of dissection (arrows).

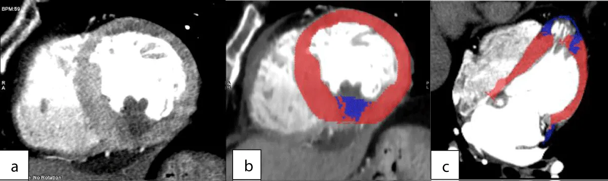
CT perfusion (CTP) under resting conditions in conjunction with CTCA images aided in the detection of myocardial hypoperfusion in the corresponding vascular territory of distal LCx [Figure 4a,b]. Moreover, the CTCA images confirmed the apical aneurism, previously revealed by TTE, and confirmed myocardial hypoperfusion in the vascular territory of distal LAD and PLA, involved by the previous two SCAD [Figure 4b,c].


Download Image

Figure 4: a-b: Short-axis CTCA and short-axis CT myocardial perfusion images with a color-coded map show hypoperfusion (blue color) of the inferno-posterior wall, corresponding with the vascular territory of the coronary artery involved by SCAD; c: Long-axis CT myocardial perfusion image with a color-coded map shows myocardial hypoperfusion (blue color) of the apical wall (site of aneurysm), corresponding with the vascular territory of the coronary arteries involved by the previous two SCAD of distal LAD and PLA.

The patient was discharged home the next day, the twelfth day of hospitalization (Figure 5), with not experienced major cardiac arrhythmias or recurrent episodes of angina; she was prescribed a more appropriate antihypertensive and antidyslipidemic treatment, as well as a dual antiplatelet therapy, clopidogrel on top of aspirin. At 1 month follow-up, she reported no symptoms, good arterial blood pressure control, and normal levels of serial biomarkers (LDL-C 45 mg/dl), so clopidogrel was stopped.


Download Image

Figure 5: The timeline.

The consensus statements from Europe and the United States, define SCAD as a spontaneous (not iatrogenic, trauma, plaque rupture related) epicardial coronary artery dissection, with acute development of a false lumen within the coronary artery wall (intramural hematoma, IMH) which may compromise coronary flow, with a variable range of severity, by external compression of the true lumen, leading to ischemia in myocardial tissue [3,4].

The pathophysiological cause of false lumen formation is unclear, two potential mechanisms have been proposed: the ‘inside-out’ model, where the causal event is the development of an endothelial and intimal discontinuity or ‘tear’, allowing blood to cross the internal elastic lamina and accumulate in the media; and the ‘outside-in’ mechanism, where the disruption of a vasa vasorum micro-vessel leads to hemorrhage directly into the tunica media. In either case, blood propagates axially, leading to the false lumen extension and compression of the true lumen. It remains unclear if there is a single dominant mechanism in SCAD or if both causal events are possible [5].

Whilst SCAD has been described across a broad demographic, it is a significant cause of ACS in young- to middle-aged women and patients with myocardial infarction in pregnancy or post-partum. The true prevalence of SCAD remains uncertain because it remains often an underdiagnosed condition in low-cardiovascular-risk populations; however, it is considered that SCAD may be a cause of up to 1% to 4% of ACS cases overall, and maybe the cause of ACS in up to 35% of MIs in women ≤ 50 years of age and the most common cause of pregnancy-associated MI (43%) [3,6,7]. The typical patient with SCAD is a young/middle-aged woman with minimal to low risk of cardiovascular (CV) risk, frequently with underlying clinical conditions associated (i.e, extraordinary vascular abnormalities such as fibromuscular dysplasia, or exogenous hormone use, connective tissue or systemic inflammatory disease). However, in contrast to the previous perception, many patients do have some CV risk factors including hypertension, smoking, and dyslipidemia, although there is no evidence these contribute directly to the risk of SCAD.

The clinical manifestation is primarily ACS with anginal chest pain and elevated cardiac enzymes in almost all cases (26-87% as ST-elevation MI and 13%-69% as non-ST-elevation MI); once SCAD is suspected, a catheter-based coronary angiography (CGA) is mandatory to perform as a first diagnostic exam, since in most of the cases is the only instrument necessary to diagnose SCAD [4]. If angiographic findings are inconclusive, further intravascular imaging investigation should be required. IVUS needs closer scrutiny to discriminate between plaque rupture and SCAD lesions, whereas OCT offers better spatial resolution (at the expense of lower depth of penetration), delineation of the lumen-intimal interface, and visualization of smaller lesions. However, both studies are not exempt from risk or complications, such as extending the current dissection or creating a de novo dissection with the wire or catheter [2].

The goal of the management of SCAD in the acute phase is to preserve minimal coronary flow, myocardial perfusion, and cardiac function, to relieve symptoms, and to prevent immediate complications of SCAD. Since outcomes of PCI in SCAD are less predictable, with higher rates of complications, such as iatrogenic propagation of hematoma and dissection, abrupt vessel occlusion, or stent malposition, is a common practice by interventionalists to adhere to an “as conservative as possible” approach. Revascularization remains a mainstay of treatment in a minority of SCAD patients with more severe clinical presentation, such as ongoing ischemia and/or hemodynamic instability, or clinically stable but with high-risk features such as left main dissection or severe proximal coronary occlusion [8]. CABG is reserved for situations where PCI has failed or is considered extremely high-risk, although dissected coronary arteries are profoundly fragile, unlikely to hold suture, and prone to anastomotic complications, especially with dissection extending into distal vessels [8]. Rescue thrombolysis is contraindicated in the management of SCAD since adverse outcomes related to the extension of coronary dissection or hematoma and coronary rupture leading to cardiac tamponade have been reported [4].

CTCA is a useful noninvasive instrument for the follow-up imaging of SCAD patients to confirm the healing of dissection and concurrent detection of associated arteriopathies. CTCA is also a useful tool in cases of ambiguous catheter base angiographic images, since the presence of intramural hematoma, perivascular fat stranding, myocardial hypoperfusion defects, and regional wall motion abnormalities may help in the diagnosis. The main limits of CTCA are the study of distal vessels less than 1.5 mm in diameter for inadequate spatial resolution, radiation exposure among younger patient populations, and false-positive findings driving invasive investigations [9-12].

Recurrent SCAD, defined as a new spontaneous dissection involving a coronary vessel or a vessel segment different from a prior SCAD, accompanied by ACS symptoms and troponin elevation, presents a variable prevalence of 10-30% and is a frequent cause of major adverse cardiovascular (MACE). Non-invasive imaging and assumptions are never substitutes for invasive coronary angiography, also when the diagnosis of recurrent SCAD is the most likely. The factors associated with recurrence risk remain unclear; fibromuscular dysplasia, migraine, and hypertension have been variably associated with recurrence [13].

The current evidence on medical management originates from expert opinion rather than clinical trials, however, the concomitant correction of CV risk factors (like dyslipidemia and arterial hypertension) and the use of dual antiplatelet therapy for 2-4 weeks (the average timeframe for dissection healing) is widely accepted.

SCAD is an uncommon and under-diagnosed condition among patients presenting with ACS. The risk factors for SCAD are numerous, and due to its rarity, the pathophysiological cause of false lumen formation remains unclear. Diagnosing SCAD can be challenging, and in such cases, the use of a multimodal imaging approach is crucial for accurate diagnosis. Treatment typically involves conservative medical management for stable patients with resolved ischemia. However, revascularization with PCI or CABG remains necessary for a small proportion of patients. The prognosis for patients who survive SCAD is generally favorable, although recurrent episodes are a common cause of MACE. Further studies are needed to explore the etiological mechanisms and long-term cardiovascular outcomes in these patients.

  1. Yip A, Saw J. Spontaneous coronary artery dissection-A review. Cardiovasc Diagn Ther. 2015;5(1):37-48. Available from: https://doi.org/10.3978/j.issn.2223-3652.2015.01.08
  2. Adlam D, Tweet MS, Gulati R, Kotecha D, Rao P, Moss AJ, Hayes SN. Spontaneous Coronary Artery Dissection: Pitfalls of Angiographic Diagnosis and an Approach to Ambiguous Cases. JACC Cardiovasc Interv. 2021;14(16):1743-1756. Available from: https://doi.org/10.1016/j.jcin.2021.06.027
  3. Hayes SN, Kim ESH, Saw J, Adlam D, Arslanian-Engoren C, Economy KE, et al; American Heart Association Council on Peripheral Vascular Disease; Council on Clinical Cardiology; Council on Cardiovascular and Stroke Nursing; Council on Genomic and Precision Medicine; and Stroke Council. Spontaneous Coronary Artery Dissection: Current State of the Science: A Scientific Statement From the American Heart Association. Circulation. 2018;137(19):e523-e557. Available from: https://doi.org/10.1161/cir.0000000000000564
  4. Adlam D, Alfonso F, Maas A, Vrints C; Writing Committee. European Society of Cardiology, acute cardiovascular care association, SCAD study group: a position paper on spontaneous coronary artery dissection. Eur Heart J. 2018;39(36):3353-3368. Available from: https://doi.org/10.1093/eurheartj/ehy080
  5. Hayes SN, Tweet MS, Adlam D, Kim ESH, Gulati R, Price JE, et al. Spontaneous Coronary Artery Dissection: JACC State-of-the-Art Review. J Am Coll Cardiol. 2020;76(8):961-984. Available from: https://doi.org/10.1016/j.jacc.2020.05.084
  6. Nishiguchi T, Tanaka A, Ozaki Y, Taruya A, Fukuda S, Taguchi H, et al. Prevalence of spontaneous coronary artery dissection in patients with acute coronary syndrome. Eur Heart J Acute Cardiovasc Care. 2016;5(3):263-70. Available from: https://doi.org/10.1177/2048872613504310
  7. Elkayam U, Jalnapurkar S, Barakkat MN, Khatri N, Kealey AJ, Mehra A, et al. Pregnancy-associated acute myocardial infarction: a review of contemporary experience in 150 cases between 2006 and 2011. Circulation. 2014;129(16):1695-702. Available from: https://doi.org/10.1161/circulationaha.113.002054
  8. Tweet MS, Eleid MF, Best PJ, Lennon RJ, Lerman A, Rihal CS, et al. Spontaneous coronary artery dissection: revascularization versus conservative therapy. Circ Cardiovasc Interv. 2014;7(6):777-86. Available from: https://doi.org/10.1161/circinterventions.114.001659
  9. Gupta S, Meyersohn NM, Wood MJ, Steigner ML, Blankstein R, Ghoshhajra BB, et al. Role of Coronary CT Angiography in Spontaneous Coronary Artery Dissection. Radiol Cardiothorac Imaging. 2020;2(6):e200364. Available from: https://doi.org/10.1148/ryct.2020200364
  10. Tweet MS, Gulati R, Williamson EE, Vrtiska TJ, Hayes SN. Multimodality Imaging for Spontaneous Coronary Artery Dissection in Women. JACC Cardiovasc Imaging. 2016;9(4):436-50. Available from: https://doi.org/10.1016/j.jcmg.2016.01.009
  11. Roura G, Ariza-Solé A, Rodriguez-Caballero IF, Gomez-Lara J, Ferreiro JL, Romaguera R, et al. Noninvasive Follow-Up of Patients With Spontaneous Coronary Artery Dissection With CT Angiography. JACC Cardiovasc Imaging. 2016;9(7):896-897. Available from: https://doi.org/10.1016/j.jcmg.2015.06.011
  12. Eleid MF, Tweet MS, Young PM, Williamson E, Hayes SN, Gulati R. Spontaneous coronary artery dissection: challenges of coronary computed tomography angiography. Eur Heart J Acute Cardiovasc Care. 2018;7(7):609-613. Available from: https://doi.org/10.1177/2048872616687098
  13. Saw J, Humphries K, Aymong E, Sedlak T, Prakash R, Starovoytov A, et al. Spontaneous Coronary Artery Dissection: Clinical Outcomes and Risk of Recurrence. J Am Coll Cardiol. 2017;70(9):1148-1158. Available from: https://doi.org/10.1016/j.jacc.2017.06.053