More Information

Submitted: July 23, 2024 | Approved: August 21, 2024 | Published: August 22, 2024

How to cite this article: De Rosa F, Rabia G. Contrast Echocardiography for the Detection of a Giant Right Coronary Artery Aneurysm: A Useful Diagnostic Tool. J Cardiol Cardiovasc Med. 2024; 9(2): 126-129. Available from: https://dx.doi.org/10.29328/journal.jccm.1001192

DOI: 10.29328/journal.jccm.1001192

Copyright License: © 2024 De Rosa F, et al. This is an open access article distributed under the Creative Commons Attribution License, which permits unrestricted use, distribution, and reproduction in any medium, provided the original work is properly cited.

Keywords: Cardiac masses; Coronary artery aneurysm; Contrast echocardiography; Multimodality imaging; Case report

Contrast Echocardiography for the Detection of a Giant Right Coronary Artery Aneurysm: A Useful Diagnostic Tool

Fabrizio De Rosa1* and Granit Rabia2

1Cardiology Department, Vaio Hospital-AUSL Parma, Italy
2Cardiology Department, Carlo Poma Hospital-ASST Mantova, Italy

*Address for Correspondence: Fabrizio De Rosa, Cardiology Department, Vaio Hospital, Via Don Enrico Tincati, 5, 43036 Vaio (PR), Italy, Email: [email protected]

Coronary artery aneurysm is an uncommon condition defined as abnormal dilatation of the coronary artery.

We report the case of a man admitted to the Emergency Department for suspected intestinal obstruction. At abdominal/thoracic Computed Tomography (CT) it was reported a suspected pericardial cyst. Contrast echocardiography showed a clear pattern of blood flow inside the mass with a probable origin at a very limited region where it was also possible to sample an ECG-synchronized system-diastolic Pulse-Wave (PW)-Doppler pattern, typical for a coronary artery flow. Our suspicion of a giant coronary artery aneurysm was then confirmed by coronary CT and coronary angiography. The patient was transferred to a Cardiac Surgery center where he underwent surgical treatment for the aneurysm.

Most coronary aneurysms are clinically silent and are often incidentally detected. Coronary angiography is the ‘‘gold standard’’ for diagnosis and evaluation of coronary artery aneurysms. Among non-invasive diagnostic techniques, Computed Tomography Coronary Angiography is the best method for coronary artery anatomy and coronary abnormalities. However, echocardiography with the use of a contrast agent, a cost-effective non-radiation nature, and a widespread use method, maybe a reliable method to detect and characterize the masses, allowing a differential diagnosis.

Learning objective

1. Recognition and evaluation of cardiac masses require first-line imaging methods such as echocardiography.

2. The use of additional non-invasive (cardiac CT or MRI) and/or invasive imaging methods are often required.

3. Contrast echocardiography may be helpful, as second-line imaging methods, to better characterize the mass and approach the correct diagnosis.

Coronary artery aneurysm is an uncommon condition defined as abnormal dilatation of the coronary artery, which exceeds the diameter of normal adjacent segments by 1,5 times.

A giant coronary aneurysm is a very rare entity with a prevalence of 0,02% [1] and it is defined if the diameter is 4-fold greater than the reference vessel diameter or if it is > 20 mm in diameter.

The right coronary artery is usually the most affected (40%) followed by the left anterior descending (32%), and the left main being the least affected (3.5%) [2].

This case shows how contrast echocardiography may be a reliable method to detect and characterize the masses, allowing a differential diagnosis.

We report the case of a 73-year-old man admitted in August 2020 to the Emergency Department for abdominal pain and suspected intestinal obstruction. His cardiovascular risk factors are arterial hypertension and mild hypercholesterolemia, medically treated. No prior history of cardiac disease.

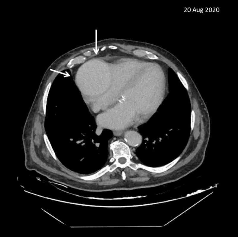
He underwent an abdominal baseline CT scan and no pathological findings were reported. Accidentally at the thoracic level, it was reported a suspected pericardial cyst (75 x 80 mm), with partial compression of the right chambers (Figure 1).


Download Image

Figure 1: Abdominal/chest baseline CT scan shows a suspected pericardial cyst with partial compression of the right chambers.

The patient never complained of chest pain or shortness of breath. The physical examination showed a mild systolic murmur at the right sternal border and lower limb edema. Resting ECG showed normal sinus rhythm and no significant repolarization abnormalities. Chest X-ray showed a slight right-sided enlargement.

Routine laboratory investigations were normal, except for a mild increase of troponin levels (hsTNnI = 52 ng/l), without significant delta changes at serial measurements.

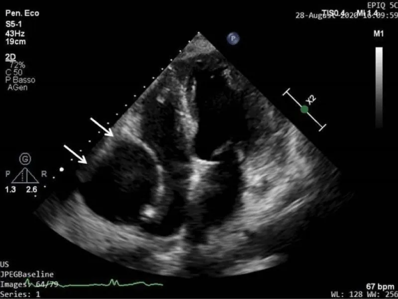
We performed echocardiography that showed normal size and function of the left ventricle and confirmed the presence of a giant round cystic-appearance lesion at the level of the right atrioventricular groove with mild compressive effect on the right chambers. The lesion was characterized by the presence of an anechoic space with an internal echogenic swirling flow pattern (Figure 2). The color Doppler mode showed a faint signal, without clear evidence of flow origin and it was not possible to sample any conclusive PW-Doppler signal.


Download Image

Figure 2: 2D echocardiography (4 chamber view) shows the presence of a giant round cystic-appearance lesion characterized by the presence of an anechoic space with an internal echogenic swirling flow pattern.

We also performed a bubble test with agitated saline contrast medium injected through the right and left antecubital vein, without evidence of any contrast uptake by the mass.

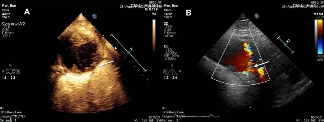
To better characterize the lesion, we decided to use an echocardiographic contrast agent (SonoVue®), which showed a clear pattern of blood flow inside the mass with a probable origin at a very limited region (Figure 3a,3b, Video 1). At that level, it was also possible to sample an ECG-synchronized system-diastolic pulse-wave (PW)-Doppler pattern (with peak velocity 125 cm/s), typical for a coronary artery flow.


Download Image

Figure 3: (a) Contrast echocardiography shows a clear pattern of blood flow inside the mass with a probable origin at a very limited region (white arrow). (b) Color Doppler signal shows the flow origin (white arrow).

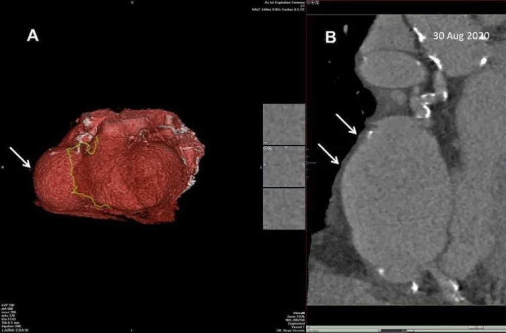
According to these echocardiographic findings, we supposed a giant coronary aneurysm. To confirm our suspicion the patient underwent Coronary Computed Tomography Angiography (CCTA) with 3D reconstruction that showed a giant aneurysm of the right coronary artery at mid-level, preceded by a mild aneurysm of the proximal tract (Figure 4a,4b). CCTA showed also two small aneurysms of the circumflex artery and diffuse atherosclerosis diseases with significant stenosis on the mid-left anterior descending artery (LAD). It was also reported significant calcification of coronary arteries (Calcium score = 3837 Agatston).


Download Image

Figure 4: (a) Coronary Computed Tomography Angiography (CCTA) with 3D reconstruction. (b) CCTA with multiplanar reconstruction. Both show a giant aneurysm of the right coronary artery at mid-level (white arrow).

The coronary angiography finally confirmed the presence of the giant aneurysm in a mild tract of the right coronary artery preceded by a small one in the proximal tract, without clear evidence of contrast due to the very limited flow inside the lesion. It also showed the presence of two small aneurysms of the circumflex artery and a critical stenosis of mid tract of LAD.

The patient was then transferred in September 2020 to a Cardiac Surgery center where he underwent surgical treatment for the aneurysm and Coronary Artery Bypass Graft (CABG).

The aneurysm was excluded with proximal and distal ligation and then resected without evidence of thrombosis (Figure 5a,5b). A saphenous vein was then anastomosed to the posterior descending artery. It was also performed an anastomosis between the internal mammary artery and distal LAD.


Download Image

Figure 5: (a) Intraoperative finding of the giant aneurysm. (b) Resected aneurysm without evidence of thrombosis (green star) and coronary artery bypass graft.

The pathophysiology of coronary aneurysm remains unclear, although it is thought to be similar to that of larger vessels, with the degradation of arterial media, increased wall stress, thinning of the arterial wall, and progressive dilatation [3].

Aneurysm may be congenital or acquired. Among the acquired forms, atherosclerosis represents about 50%, the remaining forms are vascular inflammatory or infectious diseases or connective tissue diseases.

Most coronary aneurysms are clinically silent and are often incidentally detected during imaging examinations performed for many other clinical reasons. However, clinical manifestations of coronary aneurysms, especially of the giant ones, may include myocardial ischemia or acute coronary syndrome, thrombosis, distal thromboembolism, compression on adjacent structures, and rarely aneurysm rupture with acute cardiac tamponade [4].

Coronary angiography is the ‘‘gold standard’’ for diagnosis and evaluation of coronary artery aneurysms.

Among non-invasive diagnostic techniques, the Computed Tomography Coronary Angiography is the best method for coronary artery anatomy and coronary abnormalities, providing information about the size, shape, composition, and location. However, in case of giant coronary abnormalities echocardiography may be a reliable method to detect and characterize the masses, allowing a differential diagnosis.

Specifically in our case, during the baseline CT scan, it was detected a giant mass at the right pericardiophrenic angle with a suspicious pericardial cyst with mild compressive effect on the right chambers. On physical examination, the only pathologic findings were a systolic murmur on the right parasternal border and lower limb edema.

The use of echocardiography is the primary (accurate) imaging modality for the diagnosis and evaluation of cardiac structural abnormalities. In our case some specific echocardiographic aspects allowed us to suppose the diagnosis.

We firstly excluded a pericardial cyst because of the echo appearance of the lesion with anechoic space and internal echogenic swirling flow pattern, highly suspicious for blood flow. To better characterize the flow, color-Doppler and PW-Doppler were performed with inconclusive results. The bubble test also excluded communication between the lesion and right cardiac chambers or systemic veins.

The use of contrast echocardiography was the key tool to clarify the correct diagnosis [5].

After administration of a single bolus (2 ml) of SonoVue® and right chambers opacification, the lesion did not show any contrast uptake. After complete opacification of the left side chambers and the aorta, we noticed a very limited flow origin localized at the atrioventricular junction. The flow was directed towards the wall of the lesion displaying a swirling pattern.

Finally, the contrast injection allowed us to better visualize the color-Doppler signal confirming the high velocity flow at the origin and circular pattern inside the lesion. It was also possible to sample PW-Doppler which confirmed an ECG-syncronized system-diastolic flow typical for coronary artery flow.

Our suspicion of a giant coronary artery aneurysm was then confirmed by computed tomography coronary angiography and coronary angiography.

Regarding the etiology, in our case, the patient did not have any history of connective tissue disorders or vascular inflammatory diseases, such as Kawasaki disease. The probable atherosclerotic etiology, in this case, is supported by diffuse atherosclerosis of the coronary tree and the critical stenosis on the LAD.

Echocardiography, a cost-effective non-radiation nature and widespread use method is the first-line non-invasive tool for cardiac masses characterization. Furthermore, the use of contrast agents provides further important information about perfusion and/or flow assessment, as recommended by the current European clinical practice document.

This is original work that is not under consideration elsewhere. None of the paper’s contents have been previously published. All authors have read and approved the manuscript, which does not pose a potential conflict of interest to the authors. No commercial interests supported this study.

The patient gave his consent to publish this work.

Authorship

Fabrizio De Rosa and Granit Rabia have contributed to the conception and design of the work.

  1. Mahlow D, Huntsinger R, Afiniwala S, Wortham DC. Giant coronary artery aneurysms: review and update. Tex Heart Inst J. 2014;41:603-608. Available from: https://doi.org/10.14503/THIJ-13-3896
  2. Syed M, Lesch M. Coronary artery aneurysm: a review. Prog Cardiovasc Dis. 1997;40:77-84. Available from: https://doi.org/10.1016/s0033-0620(97)80024-2
  3. Virmani R, Robinowitz M, Atkinson JB, Forman MB, Silver MD, McAllister HA. Acquired coronary arterial aneurysms: an autopsy study of 52 patients. Hum Pathol. 1986;17:575-583. Available from: https://doi.org/10.1016/s0046-8177(86)80129-0
  4. Cohen P, O'Gara PT. Coronary artery aneurysms: a review of the natural history, pathophysiology, and management. Cardiol Rev. 2008;16:301-304. Available from: https://doi.org/10.1097/CRD.0b013e3181852659
  5. Senior R, Becher H, Monaghan M, Agati L, Zamorano J, Vanoverschelde JL, et al. Clinical practice of contrast echocardiography: recommendation by the European Association of Cardiovascular Imaging (EACVI) 2017. Eur Heart J Cardiovasc Imaging. 2017;18:1205-1205af. Available from: https://doi.org/10.1093/ehjci/jex182